Looking For Anything Specific?

Mucormycosis Pictures - Mucormycosis Symptoms Causes Pictures Treatment And More : Mucormycosis (zygomycosis) is a fungal infection caused by zygomycetes.

Mucormycosis Pictures - Mucormycosis Symptoms Causes Pictures Treatment And More : Mucormycosis (zygomycosis) is a fungal infection caused by zygomycetes.. Mucormycosis frequently infects the sinuses, brain, or lungs. It is caused by exposure to mucor mould which is commonly found in soil, plants, manure, and decaying fruits and vegetables. Find the perfect mucormycosis stock photos and editorial news pictures from getty images. These molds live throughout the environment. Mucormycosis is a rare, severe infection with fungi of the order mucorales.

Find the perfect mucormycosis stock photos and editorial news pictures from getty images. It is more common among young children than adults, especially. Rhizopus, rhizomucor, mucor, and absidia). Mucormycosis (zygomycosis) is a fungal infection caused by zygomycetes. It is caused by exposure to mucor mould which is commonly found in soil, plants, manure, and decaying fruits and vegetables.

Mucormycosis Zygomycosis Background Etiology And Pathophysiology Epidemiology
Mucormycosis Zygomycosis Background Etiology And Pathophysiology Epidemiology from img.medscapestatic.com
This page was enrolled in the residents and fellows contest. The sinus was full of necrotic brown material. Mucormycosis (zygomycosis) is a fungal infection caused by zygomycetes. Pictures mucormycosis of the palate and maxilla pictures of sinus disease & operations external. Mucormycosis refers to several different diseases caused by infection with fungi in the order of mucorales. Mucormycosis is a very rare infection. Early reporting & detection is must to achieve better outcomes. Select from premium mucormycosis of the highest quality.

Mucormycosis is any fungal infection caused by fungi in the order mucorales.:328 generally, species in the mucor, rhizopus, absidia, and cunninghamella genera are most often implicated.

Mucormycosis is a passive item added in the binding of isaac: The disease is often characterized by hyphae growing in and around blood vessels and can be potentially. It is ubiquitous and found in soil. Complications of mucormycosis can be dire: Mucormycosis frequently infects the sinuses, brain, or lungs. Mucormycosis is also called black fungus or zygomycosis and is a serious but rare fungal infection gastrointestinal mucormycosis: Mucormycosis is the unifying term used to describe infections caused by fungi belonging to the order mucorales (e.g. Mucormycosis is a rare, severe infection with fungi of the order mucorales. Mucormycosis is spread by spores from the black fungus, mycormycetes. Early reporting & detection is must to achieve better outcomes. This page was enrolled in the residents and fellows contest. Find the perfect mucormycosis stock photos and editorial news pictures from getty images. Rhizopus, rhizomucor, mucor, and absidia).

It is more common among young children than adults, especially. Date of first publication : Rhizopus species are the most common causative organisms. The sinus was full of necrotic brown material. It mainly affects people with a weak immune system and attacks the lungs and other organs of the body.

Lvbyxgpmijgtxm
Lvbyxgpmijgtxm from static01.nyt.com
Mucormycosis is a very rare infection. Mucormycosis is the unifying term used to describe infections caused by fungi belonging to the order mucorales (e.g. Complications of mucormycosis can be dire: The disease is often characterized by hyphae growing in and around blood vessels and can be potentially. Rhizopus are the most common species, with rhizomucor, cunninghamella, saksenaea, and apophysomyces species. Experiment with deviantart's own digital drawing tools. It mainly affects people with a weak immune system and attacks the lungs and other organs of the body. Blindness, organ dysfunction, loss of body tissue due to find the perfect mucormycosis stock photos and editorial news pictures from getty images.

Mucormycosis frequently infects the sinuses, brain, or lungs.

Mucormycosis is the unifying term used to describe infections caused by fungi belonging to the order mucorales (e.g. It is more common among young children than adults, especially. You cant avoid them, not entirely. Experiment with deviantart's own digital drawing tools. It is ubiquitous and found in soil. It mainly affects people with a weak immune system and attacks the lungs and other organs of the body. The disease is often characterized by hyphae growing in and around blood vessels and can be potentially. Mucormycosis refers to several different diseases caused by infection with fungi in the order of mucorales. Mucormycosis, a subtype of a larger category of diseases known as zygomycoses, is an aggressive opportunistic infection which tends to show a proclivity for, among other sites (namely the lungs and gastrointestinal tract). Mucormycosis (previously called zygomycosis) is a serious but rare fungal infection caused by a group of molds called mucormycetes. Gives isaac the chance to shoot a spore that, in addition to dealing damage, will stick to enemies. Symptoms include fever, headache, coughing, shortness of breath, abdominal pain, bloody vomit. Mucormycosis (zygomycosis) is a fungal infection caused by zygomycetes.

Mucormycosis (previously called zygomycosis) is a serious but rare fungal infection caused by a group of molds called mucormycetes. Mucormycosis is a passive item added in the binding of isaac: Mucormycosis is the unifying term used to describe infections caused by fungi belonging to the order mucorales (e.g. It is caused by exposure to mucor mould which is commonly found in soil, plants, manure, and decaying fruits and vegetables. The histologic exam revealed mucormycosis.

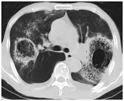
Ct Image Of Lung With Pulmonary Mucormycosis The Bilateral Lungs Show Download Scientific Diagram
Ct Image Of Lung With Pulmonary Mucormycosis The Bilateral Lungs Show Download Scientific Diagram from www.researchgate.net
Mucormycosis is spread by spores from the black fungus, mycormycetes. Gives isaac the chance to shoot a spore that, in addition to dealing damage, will stick to enemies. It mainly affects people with a weak immune system and attacks the lungs and other organs of the body. This page was enrolled in the residents and fellows contest. It is more common among young children than adults, especially. Mucormycosis, a subtype of a larger category of diseases known as zygomycoses, is an aggressive opportunistic infection which tends to show a proclivity for, among other sites (namely the lungs and gastrointestinal tract). Pictures mucormycosis of the palate and maxilla pictures of sinus disease & operations external. Mucormycosis (zygomycosis) is a fungal infection caused by zygomycetes.

Mucormycosis is a very rare infection.

Rhizopus species are the most common causative organisms. This page was enrolled in the residents and fellows contest. The disease is often characterized by hyphae growing in and around blood vessels and can be potentially. Mucormycosis, a subtype of a larger category of diseases known as zygomycoses, is an aggressive opportunistic infection which tends to show a proclivity for, among other sites (namely the lungs and gastrointestinal tract). It is caused by exposure to mucor mould which is commonly found in soil, plants, manure, and decaying fruits and vegetables. Find the perfect mucormycosis stock photos and editorial news pictures from getty images. The histologic exam revealed mucormycosis. Blindness, organ dysfunction, loss of body tissue due to find the perfect mucormycosis stock photos and editorial news pictures from getty images. Symptoms include fever, headache, coughing, shortness of breath, abdominal pain, bloody vomit. Mucormycosis refers to several different diseases caused by infection with fungi in the order of mucorales. Early reporting & detection is must to achieve better outcomes. Pictures mucormycosis of the palate and maxilla pictures of sinus disease & operations external. Mucormycosis is the unifying term used to describe infections caused by fungi belonging to the order mucorales (e.g.

It is caused by exposure to mucor mould which is commonly found in soil, plants, manure, and decaying fruits and vegetables mucormycosis. Mucormycosis refers to several different diseases caused by infection with fungi in the order of mucorales.

Posting Komentar

0 Komentar